Hollywood Smile Dental
Dental Office Rego Park
Request an Appointment
Like us on Facebook
Visit us on Yelp
Leave a Google Review
Instagram
Rego Park
(718) 830-0110
9750 Queens Blvd Suite G2 | Rego Park NY 11374
9750 Queens Blvd, Suite G2
Rego Park, NY 11374
282 A Sunrise Highway
Rockville Centre, NY 11570
Rockville Centre
(516) 442-2111
Menu
Call
Book Now
Map
Home
About
Our Team
Rego Park
Rockville Centre
Technology
Office Pictures
Services
View All
Cosmetic Dentistry
Crowns & Bridges
Dental Implants
Emergency Services
Full & Partial Dentures
General Dentistry
Invisalign and ClearCorrect
Root Canals
Sleep Apnea
Teeth Whitening
Smile Gallery
Testimonials
Forms
FAQs
View All
Crowns & Bridges
Emergency Services
General Dentistry
Invisalign and ClearCorrect
Sleep Apnea
Financial
Contact
View All
Rego Park
Rockville Centre
Hollywood Smile Dental
>
Smile Gallery
>
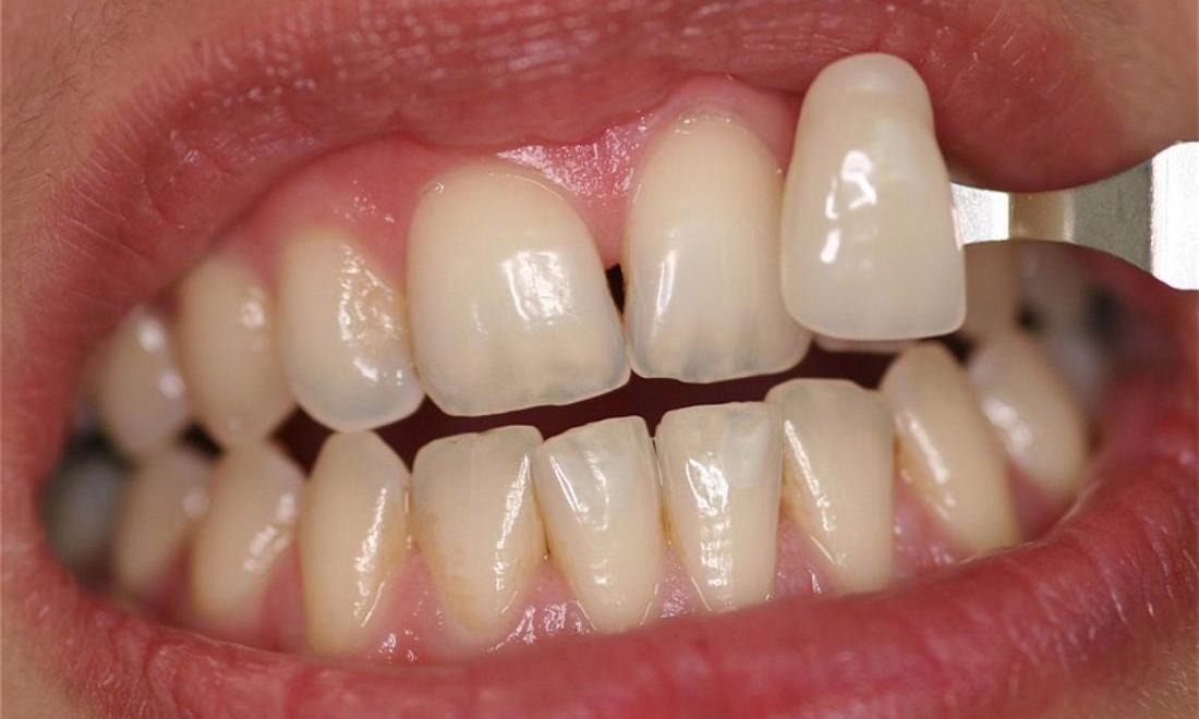
Kor Whitening
Kor Whitening
Return to Smile Gallery
Previous
Next
Related Services:
Teeth Whitening
Performed at:
Rego Park
Rockville Centre
Click image to see a larger picture
Before
After
Have Questions? Get in Touch
Contact Us
If you have difficulty using our website, please
email us
or call us at
(718) 830-0110
View the
ADA Accessibility Statement
Turn on ADA Views
Privacy Policy
OK!
×
×
Contact Us Today
Give Us A Call
Rego Park -
(718) 830-0110
Rockville Centre -
(516) 442-2111
Send Us an Email
Which location?
Rego Park
Rockville Centre
Request an Appointment
Contact Us
Ready to Schedule an Appointment?
Book Online
Have Questions? Contact Us:
Required Field
Your Name:
Phone:
Email:
Are you a new patient?:
Are you a?
New Patient
Current Patient
How would you like us to contact you?
Please choose
Email
Call
How did you hear about us?
Please choose
I'm an existing patient
Google/Bing
Mailer
Word of mouth
Social media
Other
Who Referred You?:
Appointment Preferences
Monday
Wednesday
Thursday
Sunday
Your Message:
This site is protected by reCAPTCHA and the Google
Privacy Policy
and
Terms of Service
apply.
Sending...
×
This Patient's Experience
Loading Testimonial...
Loading Case...