Skip to main content
Dental Implants
A healthy, beautiful smile starts here

Dental Implants | Dentist
Improve your smile today – call to schedule a consultation!
Contact Us

Dental Implants

Are you dealing with tooth loss? Do you feel like your quality of life suffers because of discomfort or embarrassment about your appearance?

Here at Hollywood Smile Dental, we want to help you enjoy optimal oral health because we know how valuable a healthy, problem-free smile is. That is why we are pleased to offer our patients the benefits of tooth replacement with state-of-the-art dental implants.

Why Choose Dental Implants?

In the 40 years they've been in existence, millions of patients have benefitted from dental implants.

Replacing missing teeth with dental implants is a good idea for many reasons. Of course, you want to be able to eat all your favorite foods and smile confidently again!

Dental implants solve the esthetic and functional problems of a missing tooth, but they go one step further. One problem associated with tooth loss is deterioration of the bone in your jaw. When a tooth is intact, chewing and biting motions stimulate bone growth in the jaw to maintain its bulk.

If a tooth is lost, the bone shrinks and becomes smaller and thinner. This not only affects the area of the missing tooth but also impacts the healthy teeth around it and puts you at risk of losing even more teeth from decay.

The Implant Process

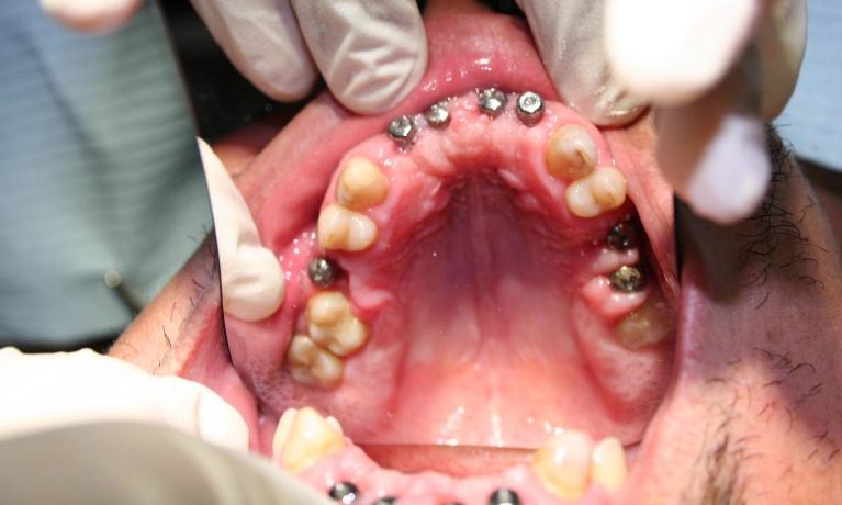
The first step is to arrange a consultation with Dr. Yefim Khanimov. At this time, he will evaluate your needs to see if you're a good candidate for a dental implant or if another option would be more suitable for your needs. We can use an implant on a single tooth and restore it with a crown, or we can use multiple implants to support a bridge or denture.

The next step is the placement of the implant post here at our Rego Park dental office during a procedure that can take as little as an hour. The post is made of biocompatible titanium that's easily accepted by the body. The healing process takes several months, and as the implant heals, it fuses securely with surrounding bone and tissue.

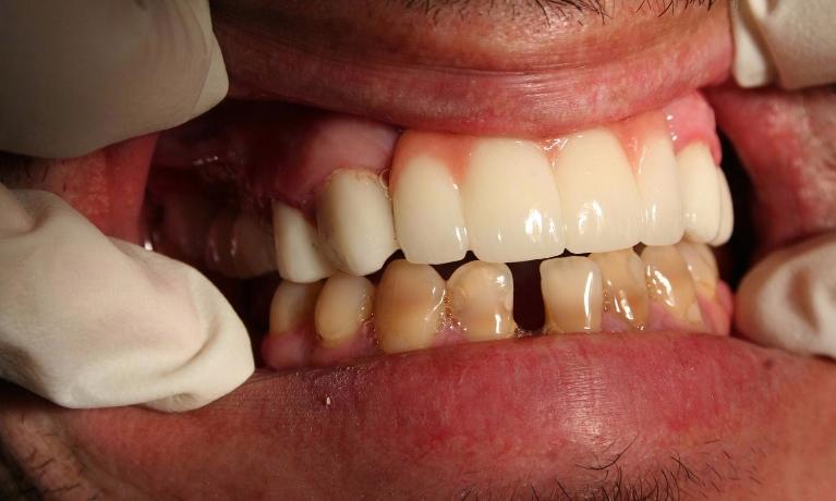
Finally, we restore the appearance and function of your smile by attaching a restoration to the implant. The restoration is the visible part of the implant that you see when you smile. There are several options for replacing a tooth, including crowns, bridges, or full or partial dentures.

Bone Grafting and Augmentation

An important determining factor in placing implants is the amount of bone available in the jaw. For some patients, there isn't enough density in the jawbone to successfully support the implant post. In this case, we will recommend a bone grafting procedure to replace the height and width of the jaw where bone tissue has receded.

Dr. Khanimov has advanced training in bone grafting and augmentation as well as platelet-rich plasma (PRP) procedures. This state-of-the-art treatment involves using a small sample of your own blood along with the grafting material to enhance bone growth and speed healing.

Please Call to Arrange a Consultation

If you are considering dental implants and wonder if they're the right choice for you, please call our Rego Park dental office. One of our helpful team members will assist you in arranging a consultation with Dr. Khanimov so he can explain the process, answer your questions, and help you make a confident decision about your treatment.

Meet Our Doctor:

Yefim Khanimov DDS

"Dentistry has been a perfect fit for me because I enjoy being in the health care field and working with my hands. Helping people on a personal level is what drives me to provide quality dental care. Being in a position to show and explain problems in detail and educate patients as to the solutions for fixing those problems brings me fulfillment and joy in what I do for a living."

Dr. Yefim Khanimov is a graduate of State University at Buffalo School of Dental Medicine. Before studying at State University ...

Getting an appointment is fast and easy!
Get Started!